差し歯の解説
ホーム>差し歯
差し歯
差し歯
保険の差し歯、歯茎黒ずみ、不自然な差し歯の症例
保険の差し歯とセラミック素材の差し歯の違いとは

「差し歯」を大きく分類すると、すべてをセラミックで製作した「オール セラミッククラウン」、内冠に金合金を用い、その上にセラミックを焼き付け製作した「セラミッククラウン」、内冠にメタルを用い、表面に樹脂を盛り足して製作した「レジン前装クラウン」があります。
健康保険が適用される「レジン前装クラウン」は、安価で治療を受けることができますが、樹脂系の材料のため、天然の歯と色が揃わなかったり、時間の経過とともに変色や擦れが出てきてしまいます。
また、見た目にも強度的にも天然歯と比べてかなり劣りますし、歯ぐきへのダメージも避けられません。
一方でセラミックを使用した「オール セラミッククラウン」「セラミッククラウン」は、歯ぐきにも優しい素材で、歯や歯ぐきの変色、金属アレルギーの心配もありません。 透明感や強度においても天然の歯と遜色のない仕上がりにすることができる上に持続性も高いため、保険内でつけた差し歯からセラミッククラウンへ変える方も多いです。

ケース1 歯ぐきの黒ずみ
歯ぐきの根元が黒ずんでしまった差し歯をオールセラミッククラウンに治療しました。前歯の片側だけがセラミッククラウンの差し歯ですが、隣の自然歯と区別がつかない仕上がりにすることができます。

ケース2 神経を抜いた後の変色
虫歯の治療で神経処置後、放っておいた変色には、差し歯治療がおすすめです。
前歯の1本をオールセラミッククラウンに治療しました。1本の治療でも、印象が全く変わりますので、お悩みの方はお気軽にご相談ください。

ケース3 不自然な差し歯
前歯の4本が不自然な印象のする差し歯でしたが、オールセラミッククラウンで天然のような歯になりました。

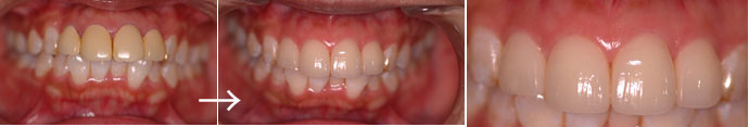
ケース4 不自然な差し歯・歯ぐきの黒ずみ
前歯が保険内の差し歯の為、歯ぐきにダメージを受けて黒ずみができてきてしまいました。オールセラミッククラウンで自然な見た目に。

ケース5 叢生・変色
歯の変色が目立ってきてしまっていました。また歯並びが叢生でしたので、オールセラミッククラウンで同時に治療いたしました。

ケース6 変色
前歯が一本だけねじれて変色していました。歯ぐきにもダメージが出てきていたので、オールセラミッククラウンに。

審美歯科Q&A 差し歯の質問
差し歯の相談。保険適用のレジンセラミック?費用は?

差し歯についての相談です。 ひどい虫歯でだいぶ歯を削られました。保険適用の銀歯を使用すると言われたのですが、前歯に近いところなので、保険適用内で何か方法がないかと探していたところ、レジンセラミックがあると紹介されました。
費用はどのぐらいですか? (右の前歯から4番目です)
歯のホワイトニングは詰めている部分は白くならないと言われました

前から3本目、犬歯っていうんでしょうか? ベニアにするかセラミックに変えてしまうか悩んでいます。
肉眼ではほとんどわからないのですが表面に虫歯があるため少し削って詰めてもらってます。
これからホワイトニングをするのですが詰めている部分は白くならないと言われたので思い切ってベニアかセラミックにしたいです。どちらが適していますか?ベニアの場合、1本あたりのお値段を教えてください。
あと、現在前歯2本が保険適応の差し歯です。不自然なのでこれはセラミックに変えたいと思っています。
仕事の都合でなかなか通えないので出来れば3本同時進行で施術して頂きたいです。可能ですか?
前歯に出来た虫歯を削り、何かつけられ、非常に目立ちます

たくさん気になるところはあるのですが、一番目立つ前歯をなんとかしたいと思っています。
子供の頃、前歯に出来た虫歯を削り そこになにかをつけられたのですが、 非常に目立つので何かかぶせれるなら被せたいです。
あと全体的に黄色い歯を白くしたいです。 出来るだけ安い治療方法と料金を教えて下さい。
またローンを利用する際の審査は前もって可能なのでしょうか? よろしくお願い致します。
差し歯が混ぜ混ぜの状態

写真の通り、非常に酷い歯の状態です・・・。 歯医者さんが苦手で、虫歯を放置しがちな事や キャラメル類を食べ続けていた事、 そして、歯ぎしりが酷く、下の歯全般や、↑右1は、欠けてしまっている状態です。
下の歯は、昔から歯並びが悪いですが、 歯ぎしりが酷くなってからは、ますます歪んできたように感じます(>_<)
さて、本題ですが 希望としましては、上の歯6本を美しく、見栄え良くしたいのです。 更に、できる事なら下の歯6本も上同様キレイにしたいのですが 今の切実な悩みは、上の歯6本です。
本物の歯のままの↑右3・↑右1・↑左3 既に差し歯になっている↑右2・↑左1・↑左2 このような、混ぜ混ぜの状態ですと どのような治療が可能で、理想的なのでしょうか??
また、上の歯をキレイにしてから 下の歯を、矯正したり、治療したりも可能なのでしょうか??
私の歯を美しくして、大きな口をあけて笑えるようにするには どのような治療で、どのくらいの費用がかかるかを教えて下さいm(__)m
歯が抜けたままの状態で…
主人の歯が無い。 主人が一年程前に奥から三番目の虫歯の歯を歯医者さんで抜きました。
抜いた後、仮歯を入れていましたが仕事が忙しく病院に行くタイミングを逃し、また仮歯が取れてしまった後も時間が無くてほったらかしていたそうです。 一年ほったらかしでいたので抜いた後の歯茎の穴は完全に平らになっています。 この様な状態で新しい歯を入れる事は可能なのでしょうか? 現在30代ですが歳をとった時 噛み合わせが悪かったりして健康に害が出ないかと心配です。 全然歯医者に行く気のない主人は大丈夫なのでしょうか? また新しい歯を入れるとなるといくらぐらいかかるか知りたいです。
抜歯した状態を長く放っておくと前後の歯が移動したり、噛み合わせがズレてきたりして健康に支障をきたしやすくなります。早く治療することをお勧めいたします。治療法は「入れ歯」または「ブリッジ」または「インプラント」からご自身に合った方法を選択してください。参考までに、入れ歯は取り外し型で異物感 があり、また安定感にも欠けますが、健康保険が適応されますので安価であるのが特徴です。ブリッジは両隣りの歯に橋渡しをして固定しますので、安定感があり一般的です。しかし、隣りの歯を削らないといけないことと、長い目で見ると両隣りの歯に負担がかかりすぎて寿命が短くなる危険性があることが欠点です。 インプラントは最新の治療法として理想的です。しかし、高価なのが欠点です。
保険適用のブリッジとセラミックのブリッジってどのくらい見た目が違うの?
保険適用のプラスチックのブリッジからセラミックのブリッジにしたとしたら、どれぐらい、どのように自然に見えるようになりますか?? 違いがいまいちわかりません。 材質、色的にはわかりますが、見た目的にはどうなのでしょうか? 見た目的にはどのように違いが出るのでしょうか? 私は前歯6本分のプラスチックのブリッジにしています。 6本の歯ががたがたなしに、わりと直線上にまっすぐなかんじで並んでいるので、いかにも歯がつながっているかんじに見えてしまう?ため、家族などからは「やっぱ差し歯ってわかるよね~」とよく言われ、ショックを受けています。 このように見えるのは、やはり保険適用のブリッジだからなのでしょうか?? 審美歯科などに行ってセラミックにした場合、今のブリッジに比べて見た目的にはどのように、どれぐらい自然に見えるようになりますか?
保険適用の材料とセラミックとでは、全く比較にならないくらい仕上がりに違いが生じてきます。 まず、保険が適用される差し歯は”レジン”と言う樹脂系の材料からなり、この素材は時間の経過とともに変色や変質が避けられません。 治療した直後は比較的きれいに見えるのですが、少しずつ色が黄ばんできたり艶がなくなってきます。 また、内面に使用している金合金の影響で歯茎が黒ずんできますので、さらに不自然に見えてきます。
それに比べ”セラミック”は歯科で最も優れた素材「ポーセレン」という陶材からなりますので、歯茎に優しく磨耗や変色の心配もありません。 また、耐久性や強度、色調においても天然の歯と同等に再現することが可能ですので、極めて審美的効果が高いと言えます。
上記記事は、
ウメダデンタルクリニック
大阪市北区小松原町3-3 OSビル10F
TEL:06-6364-4698
からの情報発信です。この記事を見て通院したいなと思う方は、以下をクリックしてください。
http://www.umeda.or.jp/
スポンサード リンク
ホーム>差し歯
